【本報訊】持續感到肚痛、發紅發熱、腹瀉、氣喘,可能是患上神經內分泌腫瘤(NET)。此病成因不明,大部份NET分佈在肺部、腸胃及胰臟。醫生表示,NET發病年齡為50至60歲,但亦有21歲少女在肝臟發病。由於初期病徵不明顯,患者普遍延誤治療五至七年,到確診時已是晚期,五年存活率僅三成半,建議市民如持續有上述症狀,須盡快求醫。
記者:袁慧妍
神經內分泌系統腺體遍佈全身,負責分泌荷爾蒙或其他細胞訊息分子到血液;當腺體出現不正常增生,就會在不同器官內形成NET。蘋果教主喬布斯也是患上神經內分泌腫瘤,發病位置在胰臟。
據醫管局統計,2009年本港有406宗NET的新症個案,逾七成半分佈在肺部,17%在腸胃及胰臟,肺部NET發病率平穩,但腸胃及胰臟的發病率,04年至09年五年間增加近一倍半。


潛伏期三至六年
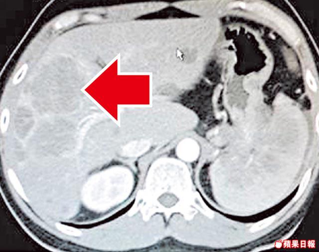
瑪麗醫院內科腫瘤科醫生梁澄宇表示,NET成因不明,可潛伏三至六年才有病徵。但年初有一名21歲少女確診,她持續肚痛兩至三個月,經電腦掃描後發現肝臟有兩個擴散性腫瘤,手術切除後發現是NET,「但未搵到原位神經內分泌腫瘤」,現正接受觀察,暫未知是否出現擴散。
梁續稱,如發現上述病徵,可透過電腦掃描、體抑素受體閃爍攝影、正子電腦斷層掃描等,檢查是否患有NET,找出其位置及觀察是否已擴散;並可透過手術或藥物進行治療。
醫管局藥物名冊內治療NET的傳統藥物舒尼替尼,副作用會令手腳皮膚潰爛。使用其他藥物如血管新生抑制劑Sunitinib,可延長無復發存活期11.4個月,副作用包括手腳生水泡、頭髮變色、甲狀腺不正常等,每月費用約三萬元。
如使用體抑素類似物奧曲肽(OctreotideLAR),配合標靶藥物依維莫司(Everolimus)使用,半年後腫瘤縮細逾三成,但每月費用數萬元,而依維莫司同樣會令患者口腔潰爛。
