14個月大的美國女嬰韋伯斯特(GraceWebster),趣致可愛。但一天,她突然下體出血,媽媽嚇破膽,醫生檢查赫然發現那些竟然是經血。14個月大怎可能來經?原來是她腦部長了罕見腫瘤。
腫瘤名為下丘腦錯構瘤(hypothalamichamartoma),是先天性疾病,全球僅數千人患上。早熟,是主要病徵之一。
躺在BB床 性器官如12歲
躺在BB床上的韋伯斯特,性器官已發育到跟12歲女孩一樣。月經來了,她很快就開始發病,每天抽搐10次。病發時,面容像癡笑,也像很憤怒。
腫瘤是良性,但位於腦部深處,周圍有很多神經線,五年前仍是不治之症。現在,因有磁力共振造影技術,能鎖定腫瘤位置,為醫生導航,將腫瘤切除。

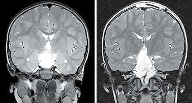
去年開刀 瘤大如乒乓波
「腫瘤很大,很難搞。」醫生謝德(StevenShedd)去年為韋伯斯特進行手術時,發現腫瘤闊度達3.23厘米,像乒乓波一樣。手術長達九小時,十分危險。
上天保佑着韋伯斯特,最終讓她平安回到父母懷裏。她現在4歲了,除糖尿病和甲狀腺功能差,其餘一切正常。
美國《紐約時報》
